| Answer:
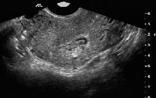
This "endometrial mass" was diagnosed
as placental tissue by pathology at the time of
D&C. Interestingly, this patient was afebrile
and had no symptoms of retained products of
conception. More amazing is the fact that this
patient was 8 months post-partum at the time of
the sonogram!!

|